생활공공기관
도구
- 스마트폰,태블릿 화면크기비교
- 양쪽 윈도우키를 한영한자키로(AutoHotKey)
- 매크로: Robotask Lite
- 파일이름변경: ReNamer Lite
- 파일압축: 반디집
- 공공서식 한글(HWP편집가능, 개인비영리)
- 오피스: 리브레오피스(LibreOffice)
- 텍스트뷰어: 이지뷰어
- PDF: FoxIt리더, ezPDF에디터
- 수학풀이: 울프램 알파 ( WolframAlpha )
- 수치해석: 셈툴, MathFreeOn
- 계산기: Microsoft Mathematics 4.0
- 동영상: 팟플레이어
- 영상음악파일변환: 샤나인코더
- 이미지: 포토웍스
- 이미지: FastStone Photo Resizer
- 화면갈무리: 픽픽
- 이미지 편집: Paint.NET, Krita
- 이미지 뷰어: 꿀뷰
- 국립중앙도서관 소장자료 검색
- KS국가표준인증종합정보센터
- 대한무역투자진흥공사(KOTRA) 해외시장뉴스
- 엔팩스(인터넷팩스발송)
- 구글 드라이브(문서도구)
- MS 원드라이브(SkyDrive)
- 네이버 N드라이브
- Box.com (舊 Box.net)
- Dropbox
- 구글 달력
- 모니터/모바일 픽셀 피치 계산
- Intel CPU, 칩셋 정보
- MS윈도우 기본 단축키
- 램디스크
- 초고해상도 관련
- 게임중독
- 표준시각
- 전기요금표/ 한전 사이버지점
- HWP/한컴오피스 뷰어
- 인터넷 속도측정(한국정보화진흥원)
- IT 용어사전
- 우편번호찾기
- 도로명주소 안내, 변환
- TED 강연(네이버, 한글)
- 플라톤아카데미TV
- 세바시
- 명견만리플러스
- 동아사이언스(과학동아)
- 과학동아 라이브러리
- 사이언스타임즈
- 과학잡지 표지 설명기사
- 칸아카데미
- KOCW (한국 오픈 코스웨어) 공개강의
- 네이버 SW 자료실
- 네이버 SW자료실, 기업용 Free
- 계산기
공공데이터베이스
PC Geek's
협심증과 심근경색증 - 서울아산병원 심장내과 강도윤교수(유튜브) 본문
쉽게 설명해주는 영상입니다.
협심증.. 가슴이 조이듯 아프다..
공부하려고 갈무리한 내용 일부입니다. 무척 쉽게 설명하려고 말도 조심조심 하시네요. ^^ 직접 보세요.
질병소개





★ 노인환자는 "심장이 아프다"고 증상을 구체적으로 호소하지 못하고, 명치가 아프다거나 속이 더부룩하다는 식으로 애매하게 말할 수 있으니 가족은 주의해 들을 것.
무증상 관상동맥질환: 대부분 약물치료

안정형 협심증: 약물치료로 조절하고 증상이 심하면 시술이나 수술

불안정형 협심증: 응급상황이니까 바로 병원와서 즉시 검사 후 시술이나 수술.


심근경색증: 협심증은 증상이 천천히 악화되면 심장이 조금씩 약해지거나 몸이 대응해 근처 혈관이성장하기도 하는데..
심근경색증은 바로 확 온다.. 죽상경화증으로 좁아져있던 혈관의 구멍이 어느 날 큰 혈전덩어리든 핏덩어리든 걸려 마저 막히면, 그 혈관이 피를 공급하던 부분의 심장근육이 가슴통증과 함께 현재진행형으로 질식해 죽는 상황이 심근경색증이다. 이건 시간끌면 심장마비가 오거나, 참아서 통증이 지나가고 살아도 심장근육이 얼마간 죽고 조직이 섬유화돼 심장이 팍 나빠지니까, 걸렸다싶으면 이건 무조건 119불러 응급실가서 막힌 곳을 뚫어줘야 한다.


죽상경화증: 혈관내벽에 혈전이 쌓이면서 혈관내경이 기름때가 떡칠이 돼 좁아진다.
그러다가 큰 덩어리가 막히거나 어디서 피가 좀 터져서 거기 걸려 응고되면 혈관이 막혀 심근경색증이 생기는 것이다.




★★★ 즉시 119불러야 하는 상황들. (택시가 아니라 119!)

건강검진할 때 폐사진찍다가 관상동맥석회화를 발견하기도 한다.


진단과 치료

심전도만 가지고 협심증이나 심근경색증을 알 수는 없다. 심전도는 정상일 수도 있다.
반대로 부정맥 등은 협심증과 심근경색증이 아니지만 심전도이상을 보인다.

심장초음파는 건강검진으로도 하고 동네의원에서도 하는 곳이 있다.

부하(stress)검사. 빠르게 걷기 등 심장을 힘들게 하고 심전도를 확인. 또는 약물로 부하를 줘서 심장을 더 뛰게 한 다음 영상검사.

관상동맥CT: 정확한 편.

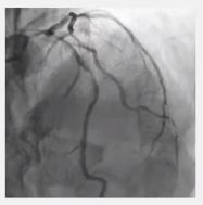
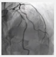
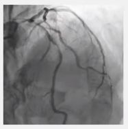
관상동맥 조영술. 몸 안에 관을 넣어 조영제가 관상동맥에 들어가도록 해서 관상동맥에 피가 잘 도는지 사진이나 영상을 찍기. 가장 정확하지만 방사선촬영하므로 환자와 의사 모두 노출된다. 필요할 때만 한다.




약물치료
죽상경화증 약물치료는 처음이자 마지막

관상동맥질환이 있는 환자는 혈액검사할 때 저밀도콜레스테롤(LDL)수치의 정상치 상한 기준이, 병이 없는 일반인보다 훨씬 낮다. 경우에 따라 1/3~2/3까지도.

시술과 수술




몸(혈관)안에 스텐트를 넣는 것은 잘 보고 해야 한다. 그래서 의사도 신중히 판단한다.
스텐트 시술 중에 리스크가 있고, 일단 혈관내벽에 스텐트를 넣어 확장하면, 평생 혈전방지약을 먹고 살아야 한다.


요즘은 보험에 스텐트 갯수제한은 없다. 의료진의 판단에 따라 필요하면 선택한다.

환자마다 병의 양상이 다르다. 스텐트만으로는 어렵다싶으면 관상동맥 우회로 수술을 할 수 있다. 이건 가슴을 열고 심장표면을 달리는 관상동맥의 막힌 영역에 우회혈관을 만들어주는 것이라고 한다.


변이형 협심증
평소에는 괜찮다가 운동이 아니라 음주, 흡연, 추위에 노출되면 경련을 일으켜 좁아진다.

가슴이 아픈 다른 상황

약과 식사
약은 평생 먹어야 한다. 동맥경화증(죽상경화증)은 평생 관리하는 만성질환이다.
음식이나 보약을 더 먹어서 좋아지는 것은 없다. 적당히 적게 먹어야 한다.


탄수화물은 잡곡위주로 섭취하고,
지방과 염분을 삼가하고,
단백질과 채소를 늘려라.
영양제는 꼭 필요하면 병원에서 처방한다.
오메가-3를 따로 사먹을 필요가 없다.
담배는 무조건 끊어라!


운동: 걷기, 조깅, 수영, 자전거 등 유산소운동을 가볍게 할 것. 힘들게 하지 말고 약간 땀이 날 정도가 좋다. 빨리 걷다 천천히 걷다 등.. 요즘은 심장재활프로그램을 운영하는 병원이 많다.

스텐트치료 후 상식

평범한 운동은 괜찮다. 발기부전치료제는 질산염계열이면 문제가 있을 수 있으니, 꼭 주치의에게 물어볼 것.
요즘은 스텐트재료를 잘 써서 MRI촬영해도 된다. (궁금하면 주치의에게 물어보기)

스텐트시술 후 치과치료, 내시경시술, 수술을 받아야 한다면 반드시 담당의사선생님과 상의해 약물을 조절하거나 시술/수술을 연기할 것. 마음대로 혹은 일반적인 지침따라 약을 끊으면 안 된다.

약을 끊거나 마음대로 먹으면 재발하기 쉽다.

가슴이 아프면 참지 말고 병원에 바로 와라!
가슴이 아주 아프거나 옆사람이 가슴을 움켜쥐고 통증을 호소한다면 바로 119에 전화해라!
좋은 교육물이네요.
모두 40분 정도 되는 분량입니다. 노인분들이 듣기 좋게 또박또박 천천히 말해주기 때문에, 바쁘면 1.5배속재생해 들어도 됩니다. 반대로 지금도 빠르면 0.75배속으로 들어도 됩니다.


'건강, 생활보조, 동물 > 질병과 건강' 카테고리의 다른 글
| 올바른 혈압계사용법과 고혈압: 병원 유튜브 영상 몇 개 정리 (0) | 2023.02.04 |
|---|---|
| 이상지질혈증에 대해 찾아본 것 (0) | 2023.02.02 |
| 혈압 착착(혈압측정기록 수첩앱) 사용기 (0) | 2023.02.01 |
| 변비약은 변비증상을 일시적으로 완화시키지만 근본적인 치료약은 아니며 부작용이 있다. /:/ 변비완화를 위한 장마사지 (0) | 2023.01.07 |
| 한랭질환(저체온증, 동상, 동창, 침수병, 침족병) 주의 안내 - 질병관리청(2022.12.16) (0) | 2022.12.17 |
| 갑작스레 체중 5%이상 빠지거나 찐 당뇨환자, 심혈관질환 발병위험 높아/:/ 체중감소와 소모성 질환 (0) | 2022.12.15 |
| 담관염(담도염) 환자의 발열 메모 조금 (0) | 2022.12.13 |
| 이상지질혈증에 대해 조금 찾아본 것 (0) | 2022.12.03 |
|
Viewed Posts
|
|
Recent Posts
|
