생활공공기관
도구
- 스마트폰,태블릿 화면크기비교
- 양쪽 윈도우키를 한영한자키로(AutoHotKey)
- 매크로: Robotask Lite
- 파일이름변경: ReNamer Lite
- 파일압축: 반디집
- 공공서식 한글(HWP편집가능, 개인비영리)
- 오피스: 리브레오피스(LibreOffice)
- 텍스트뷰어: 이지뷰어
- PDF: FoxIt리더, ezPDF에디터
- 수학풀이: 울프램 알파 ( WolframAlpha )
- 수치해석: 셈툴, MathFreeOn
- 계산기: Microsoft Mathematics 4.0
- 동영상: 팟플레이어
- 영상음악파일변환: 샤나인코더
- 이미지: 포토웍스
- 이미지: FastStone Photo Resizer
- 화면갈무리: 픽픽
- 이미지 편집: Paint.NET, Krita
- 이미지 뷰어: 꿀뷰
- 국립중앙도서관 소장자료 검색
- KS국가표준인증종합정보센터
- 대한무역투자진흥공사(KOTRA) 해외시장뉴스
- 엔팩스(인터넷팩스발송)
- 구글 드라이브(문서도구)
- MS 원드라이브(SkyDrive)
- 네이버 N드라이브
- Box.com (舊 Box.net)
- Dropbox
- 구글 달력
- 모니터/모바일 픽셀 피치 계산
- Intel CPU, 칩셋 정보
- MS윈도우 기본 단축키
- 램디스크
- 초고해상도 관련
- 게임중독
- 표준시각
- 전기요금표/ 한전 사이버지점
- HWP/한컴오피스 뷰어
- 인터넷 속도측정(한국정보화진흥원)
- IT 용어사전
- 우편번호찾기
- 도로명주소 안내, 변환
- TED 강연(네이버, 한글)
- 플라톤아카데미TV
- 세바시
- 명견만리플러스
- 동아사이언스(과학동아)
- 과학동아 라이브러리
- 사이언스타임즈
- 과학잡지 표지 설명기사
- 칸아카데미
- KOCW (한국 오픈 코스웨어) 공개강의
- 네이버 SW 자료실
- 네이버 SW자료실, 기업용 Free
- 계산기
공공데이터베이스
PC Geek's
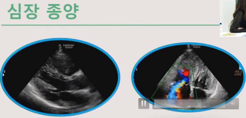
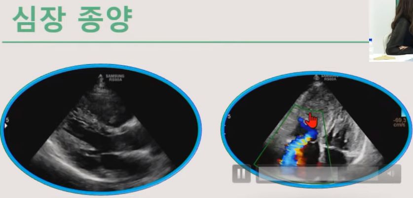
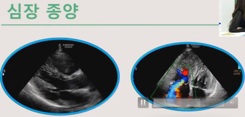
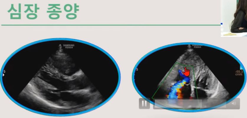
심장(심장초음파, 운동부하검사)검사 이렇게/:/ ★ 심장 초음파로 무엇을 알 수 있을까(화상 설명) 본문
심장(심장초음파, 운동부하검사)검사 이렇게 합니다 | 서울대병원 이용안내서
서울대병원의 검사과정 안내.
.
.
.
*주요챕터 (영상정보란에 보이는 내용입니다)
00:00 오늘 받을 검사는?
00:57서울대병원 심혈관센터 위치 안내
01:07심장초음파검사 접수
01:24 키와 몸무게 측정
01:40 본인확인 및 환복
02:06 검사맨 심장 공개
02:17심장초음파검사 은근히 아픈 이유
02:29 심장초음파검사 왼쪽만 하는 이유
02:57 의사선생님 검사결과 확인
03:25 심장초음파검사 어떤 때 해봐야 할까?
03:53심장초음파검사 핵심정리
04:14운동부하심전도검사 접수
04:34운동부하검사 검사설명 및 동의서 작성
05:13운동부하검사 어떤 경우 하게 될까?
05:37운동부하검사용 환복
05:57운동부하검사 준비사항 정리
06:04전극부착 및 혈압계 부착
06:48 운동부하검사와 그냥 운동의 차이?
07:46운동부하심전도검사 시작
09:12회복시간
09:51 운동부하검사 결과 언제 나오나요?
10:06운동부하검사 전 커피와 담배는 왜 삼가야 하나요?
10:30심장CT와 운동부하검사, 같은 날 받아도 되나요?
11:05체력이 없는 사람도 운동부하검사를 할 수 있나요?
11:54운동부하검사 핵심정보정리
ㅡ 심장초음파를 해야 할 때: 가슴이 아프거나 숨이 차거나 등이지만, 외래진료 후 담당의가 필요하다고 판단했을 때.
ㅡ 운동부하검사: 운동부하검사는 운동을 잘 하느냐를 보는 게 아니라, 적당한 운동부하를 걸었을 때 심장상태가 어떻게 바뀌는지를 확인하는 검사. 그래도 걷기도 하고 뛰기도 한다.. 그때 몸에 센서를 달기도 하지만 솔직하게 표현할 것.
내몸에닥터 #60. 심장 초음파로 무엇을 알 수 있을까요? (내과 전문의 류재춘 & 정진희 PD) (대한내과의사회)
https://www.youtube.com/live/jEF7ILl1Dls?feature=share
.
.
.
심장초음파는, 의사가 심장질환이 의심되어 시행하는 경우 2021년 9월부터 보험급여.
한국초음파학회 https://kmua.co.kr/board/Index.asp?Action=View&Gubun=a01&Idx=553&Page=1
건강보험 웹진 https://www.nhis.or.kr/static/alim/paper/oldpaper/202109/sub/19.html
평생건강 지킴이 건강보험 웹진
202109 vol.275 National Health Insurance Service
www.nhis.or.kr


ㅡ 심장초음파검사로 심장크기, (심장벽)두께 측정, 심장기능 평가, 판막질환 진단 및 평가, 선천성 심장질환 진단, 심낭 삼출, 심장종양 진단.
ㅡ 심장초음파검사는 초음파진단기계의 한 종류로 심장을 보는 것.

(심장위치를 잘 볼 것. 가슴뼈 뒤에 있다)
ㅡ 심장초음파로 심장의 구조와 기능 평가. 도플러 초음파를 이용해 혈역학적 평가 가능. 심장질환의 진단, 치료방침, 예후 판정.
ㅡ 심장이 늑골 뒤에 있으니까, 늑골사이로 초음파를 보내게 된다.



















심부전





국소 벽운동 이상
관상동맥관련


이완기능장애





폐동맥압 측정
심부전으로 인한 폐울혈때문에 숨이 차는 것이다. 폐동맥압이 높아지면 우심실에 역류가 일어남.

심부전


심장이 잘 못 뛰면 판막이 잘 안 닫혀서 역류가 일어난다.
허혈성 심질환


심장판막 질환


* 심장판막수술도 요즘은 심장을 열지 않고 혈관으로 카데터를 넣어서 할 수 있다.





선천성 심질환

물리적 결손 및 천공도 수술해야 하는 것이 있고 내과시술가능한 것도 있다고.


심장 종양, 심낭 삼출


ㅡ 심장초음파 검사는 심장의 구조와 기능을 평가.
ㅡ 도플러 초음파를 이용하여 혈역학적 평가 가능.
ㅡ 심장질환의 정확한 진단, 치료방침과 예후를 평가하는 저렴하고 쉽게 적용할 수 있는 중요한 비침습 검사법.
심장약을 처방하면서도 장기적으로 심장상태의 변화를 심장초음파검사로 보고 처방을 바꾸거나 다른 치료를 고려할 수 있다.
이 분야가 매우 빠르게 발전하고 있어 가이드라인 변화도 있고 교육이 많이 필요해서, 이상을 검진 판별하는 것은 일반의도 하겠지만 본격적인 진단과 치료는 관련학회(대한임상순환기학회)의 인증의가 더 나을 것이다 등.
* 실제 영상을 보세요. 각 경우를 동영상으로 보여줍니다.
* 코로나19백신 맞고 난 다음 가슴통증이 심할 때에 관한 멘트 약간. 자기 환자들은 대부분 미미. 있어도 소염진통제쓰면 며칠 안에 없어진다. 검사는 효소수치검사보고 의사판단으로 필요하면 심장초음파 등.. 영상 뒷부분에 나온다.
'건강, 생활보조, 동물 > 질병과 건강' 카테고리의 다른 글
| 부모님이 거실이나 방 벽에 시력검사표를 붙여놓으셨다면, 안과의원에 모시고 가서 같이 얘기들어라 (0) | 2023.04.03 |
|---|---|
| 턱관절장애는 치과질환 (0) | 2023.04.03 |
| 고혈압 (강수진교수/ 서울아산병원 심장내과, 2021) 유튜브 영상 하나/:/ 혈압재는 방법, 혈압약을 먹어야 하는 이유 (0) | 2023.03.27 |
| 심장 건강을 위한 생활습관 관리 (서울아산병원, 심장내과 최효인 교수) (0) | 2023.03.22 |
| 뇌졸중 안내서(2023.2): 뇌졸중의 약물요법(잘 알려진 약 종류) (0) | 2023.03.20 |
| 고혈압 치료의 진짜 목적은? - 서울대병원 김용진 교수 (유튜브) (0) | 2023.03.13 |
| 협심증과 심근경색증 - 서울아산병원 심장내과 이철환교수(유튜브), 2021 (작성중) (0) | 2023.03.05 |
| 커피믹스를 프림(커피크림)을 안 먹기로 하고 바꿨습니다. (0) | 2023.02.21 |
|
Viewed Posts
|
|
Recent Posts
|
